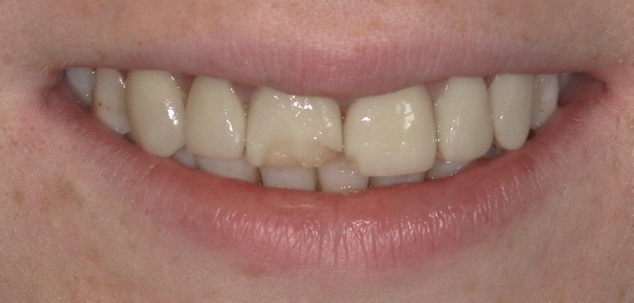
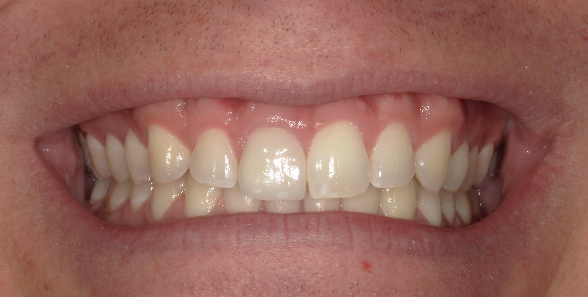
Veneers
Dental veneers are thin, custom-made shells designed to cover the front surface of your teeth. Made from materials such as porcelain or composite resin, veneers are crafted to match the color, shape, and size of your natural teeth, providing a flawless appearance. They are bonded to the teeth to correct a range of cosmetic issues, including discoloration, chips, gaps, and uneven teeth.

Benefits of Dental Veneers in Camp Hill, PA
- Esthetic enhancement: Veneers can dramatically improve the appearance of your smile by addressing imperfections such as stains, cracks, and misalignments. They provide a natural, beautiful look that enhances your overall appearance.
- Minimally invasive: Compared to other cosmetic dental procedures, getting veneers typically requires minimal tooth preparation. This means less removal of natural tooth structure compared to treatments like crowns.
- Durability: High-quality porcelain veneers are highly durable and resistant to stains, maintaining their appearance for many years with proper care.
- Quick results: Veneers can deliver significant esthetic improvements in a relatively short period, often requiring just a couple of visits to complete.
- Versatility: Veneers are effective in addressing various cosmetic concerns, including discolored teeth, gaps, chipped teeth, and uneven teeth.
The Veneer Process in Camp Hill, PA
Initial Consultation
The journey to achieving your perfect smile with veneers begins with a comprehensive consultation with Dr. Rina Singh. During this visit, your dentist will:
- Assess your needs: Discuss your smile goals and examine your oral health to determine if veneers are a suitable option.
- Review your options: Explain the different types of veneers available, including porcelain and composite resin, and help you choose the best material for your needs.
- Create a treatment plan: Develop a personalized treatment plan, including the number of veneers required and any additional procedures that may be needed.
Tooth Preparation
Once you decide to proceed with veneers, the next step involves preparing your teeth. This process typically includes:
- Enamel reduction: A small amount of enamel is gently removed from the front surface of your teeth to ensure a proper fit for the veneers. This step helps the veneers adhere securely and ensures a natural appearance.
- Impressions: Detailed impressions of your teeth are taken to create custom veneers that match the shape and size of your teeth. Advanced digital imaging technology may be used to ensure precision.
Temporary Veneers
While your custom veneers are being fabricated, you may receive temporary veneers to protect your teeth and provide a preview of your new smile. These temporary veneers allow you to get a sense of how your final veneers will look and feel.
Veneer Placement
Once your custom veneers are ready, you will return to our office for the placement appointment. During this visit:
- Final adjustments: The veneers are carefully placed on your teeth to ensure proper fit and alignment. Dr. Rina Singh will make any necessary adjustments to achieve a perfect match.
- Bonding: The veneers are bonded to your teeth using a special dental adhesive. The adhesive is cured with a light to ensure a strong and lasting bond.
- Final touches: Any final adjustments are made to ensure your veneers blend seamlessly with your natural teeth and provide a comfortable bite.
Follow-up Care
After your veneers are placed, it's important to maintain regular dental checkups to ensure their longevity and monitor your oral health. Dr. Rina Singh will provide guidance on how to care for your veneers, including:
- Oral hygiene: Maintain good oral hygiene by brushing and flossing regularly to keep your teeth and gums healthy.
- Avoiding certain foods: Be mindful of foods and drinks that can stain or damage your veneers, such as coffee, tea, and hard candies.
- Regular checkups: Schedule regular dental visits to monitor the condition of your veneers and address any issues that may arise. Contact us to learn more.
Types of Veneers in Camp Hill, PA
Porcelain Veneers
Porcelain veneers are known for their strength, durability, and natural appearance. They are made from high-quality ceramic material that closely resembles the translucency and color of natural teeth. Porcelain veneers are highly resistant to stains and can last for many years with proper care.
Composite Resin Veneers
Composite resin veneers are made from a tooth-colored resin material that is applied directly to the teeth. They are typically less expensive than porcelain veneers and can be placed in a single visit. While composite veneers may not be as durable or stain resistant as porcelain, they offer a more affordable option for enhancing your smile.

Conclusion
Dental veneers are a powerful and effective way to enhance your smile and boost your confidence. At Rina Singh DDS in Camp Hill, PA, Dr. Rina Singh provides personalized veneer solutions to help you achieve the smile of your dreams. With their expertise, state-of-the-art technology, and commitment to patient care, you can trust our team to deliver outstanding results and a beautiful, natural-looking smile.
If you're ready to transform your smile with veneers, contact our office today to schedule a consultation. Discover how dental veneers can enhance your appearance and give you the radiant smile you've always wanted.
Transform your smile and boost your oral health with expert care from Rina Singh DDS! Call us today at (717) 761-0283 or visit our office at 1902 Market St, Camp Hill, PA, to schedule your appointment and take the first step toward a healthier, brighter smile!
Location
1902 Market St,
Camp Hill, PA 17011
Office Hours
MON - WED8:30 am - 5:30 pm
THU7:30 am - 2:30 pm
FRIBy appointments only
SAT - SUNClosed

